Recontorneo estético
Cirugía de Recontorneo Gingival Estético: Transforma tu Sonrisa con Confianza
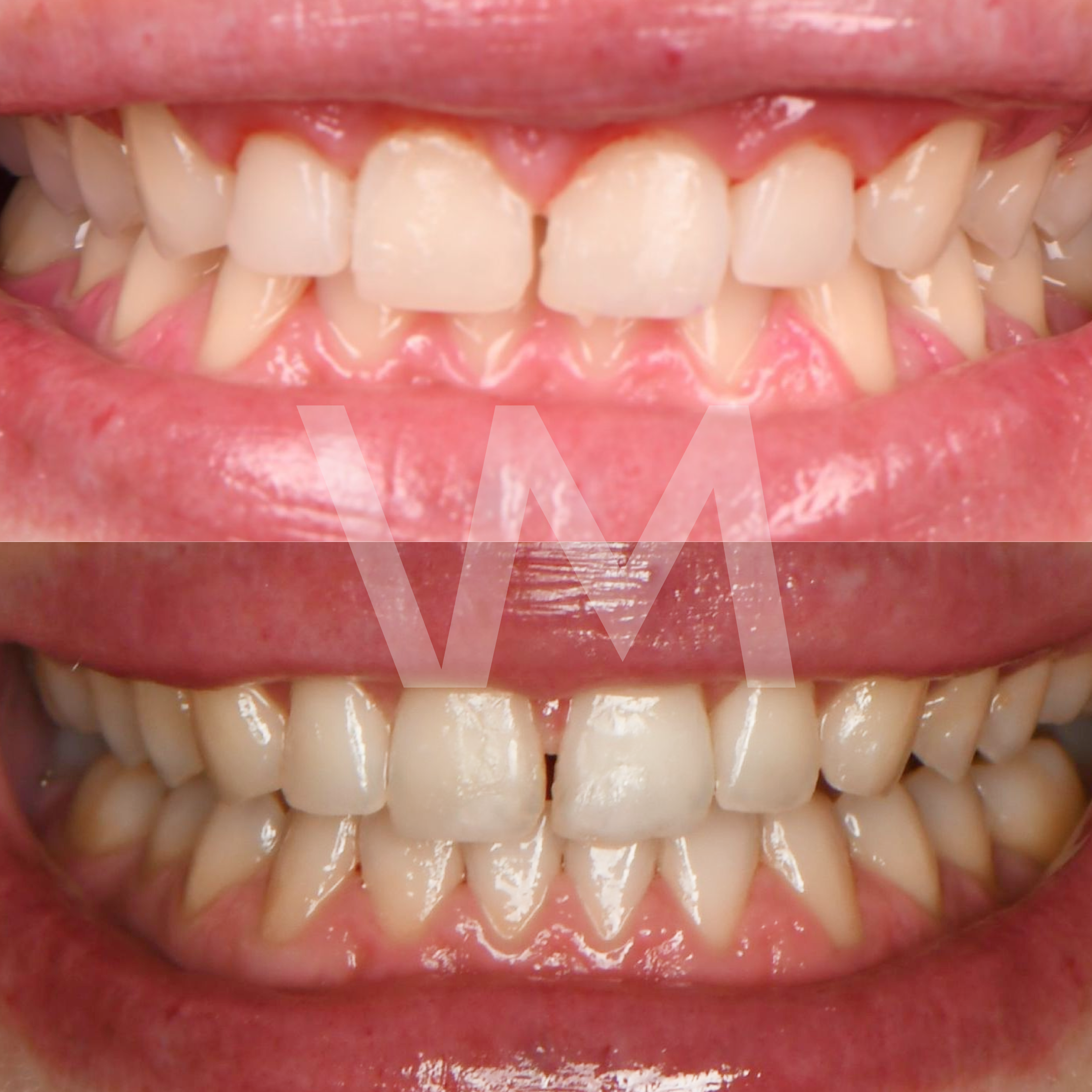
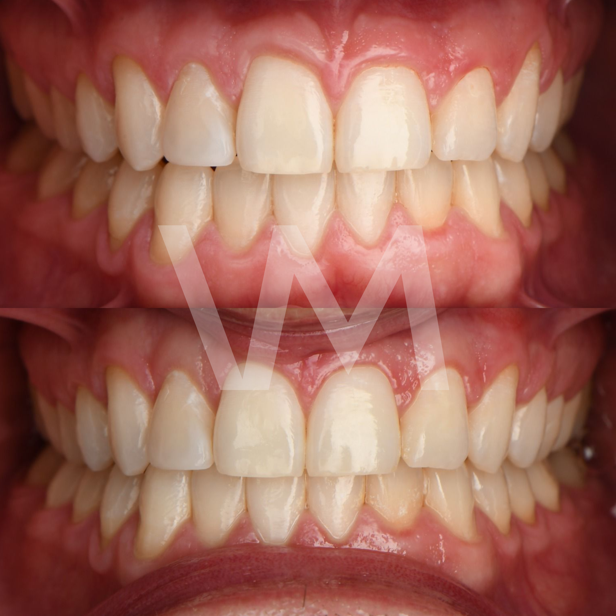
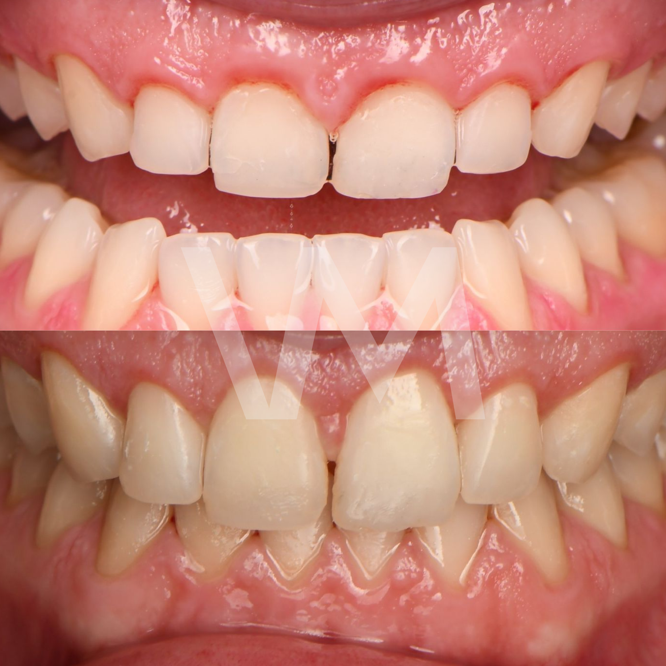
La cirugía de recontorneo gingival estético es un procedimiento periodontal especializado que se realiza para mejorar la apariencia de las encías y lograr una sonrisa más armoniosa y estéticamente agradable. A continuación, te explicamos qué esperar durante este proceso:
1. Evaluación Inicial:
Antes de someterte a la cirugía de recontorneo gingival estético, es importante realizar una evaluación inicial con un periodoncista. Durante esta evaluación, se discutirán tus preocupaciones estéticas y se evaluará la salud de tus encías y dientes. Se pueden tomar radiografías y fotografías para ayudar en la planificación del tratamiento.
2. Proceso Quirúrgico:
El proceso de cirugía de recontorneo gingival estético generalmente implica los siguientes pasos:
- Anestesia: Se administra anestesia local para adormecer el área y garantizar tu comodidad durante el procedimiento. 
- Recontorneo Gingival: El periodoncista utiliza herramientas especializadas para remodelar y esculpir las encías, eliminando el exceso de tejido y corrigiendo irregularidades en el contorno gingival. 
- Ajuste de la Línea de la Sonrisa: Si es necesario, se puede ajustar la línea de la sonrisa para lograr una apariencia más simétrica y estética. 
- Sutura: Después de completar el recontorneo gingival, se suturan las encías para promover la cicatrización adecuada y un resultado estético óptimo. 
3. Cuidados Postoperatorios:
Después de la cirugía de recontorneo gingival estético, es importante seguir cuidadosamente las recomendaciones de tu periodoncista para asegurar una recuperación exitosa. Algunos consejos comunes incluyen:
- Descanso: Descansa y evita actividades vigorosas durante los primeros días después de la cirugía. 
- Alimentación: Consume una dieta suave y fría durante los primeros días para evitar irritar las encías. 
- Higiene Oral: Continúa con una buena higiene oral cepillando suavemente los dientes y usando enjuague bucal según las indicaciones de tu periodoncista. 
- Medicación: Toma cualquier medicamento recetado según las indicaciones para controlar el dolor y prevenir infecciones. 
- Evitar Factores de Riesgo: Evita fumar y consume alcohol con moderación, ya que estos hábitos pueden retrasar la cicatrización y comprometer los resultados del tratamiento. 
La cirugía de recontorneo gingival estético es una opción efectiva para mejorar la apariencia de las encías y lograr una sonrisa más armoniosa y estética. Al seguir las recomendaciones de tu periodoncista y cuidar adecuadamente tus encías después del procedimiento, puedes disfrutar de los beneficios de una sonrisa más hermosa y confiada.
Si estás interesado en la cirugía de recontorneo gingival estético, programa una consulta con un periodoncista para discutir tus objetivos estéticos y determinar si este procedimiento es adecuado para ti.
 
        
        
      
    
    