Dra. Myriam Ramos
Especialista en Rehabilitación Oral
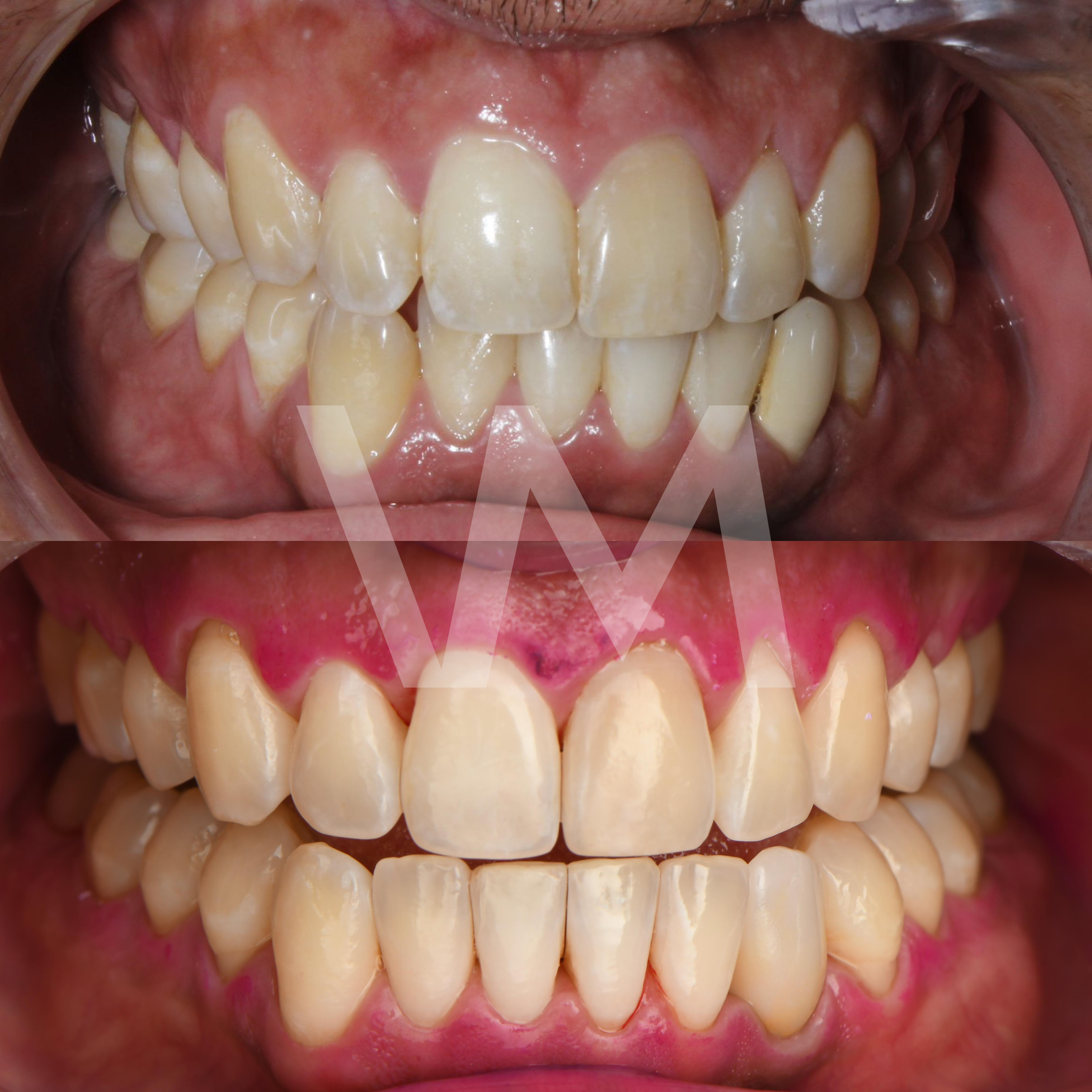
La Dra. Myriam es Cirujano Dentista egresada de la Universidad Autónoma de Nuevo León y especialista en Rehabilitación Oral por el Centro de Estudios AME.
Es una apasionada de la odontología y del trato cercano con los pacientes, lo que se refleja en su calidez y atención personalizada en cada consulta.
Le entusiasma el uso de herramientas digitales y el trabajo en laboratorio dental, buscando siempre resultados funcionales y estéticos. Su amabilidad y compromiso harán que tu experiencia en el consultorio sea cómoda y de confianza.
 
        
        
      
    
     
                         
            
              
            
            
          
               
                  
                    
                 
                  
                    
                