Dra. Itzel Martínez
Dentista VM
La Dra. Itzel forma parte del equipo de Doctoras VM y se distingue por ser una profesional integral, comprometida con la excelencia clínica, la innovación y el trato humano hacia cada paciente.
Egresada como Cirujano Dentista de la Universidad Autónoma de Nuevo León (UANL), cuenta con formación adicional como Higienista Dental, lo que fortalece su enfoque preventivo y su capacidad de brindar tratamientos precisos y personalizados.
Desde su incorporación en 2021, ha demostrado un fuerte compromiso con la actualización continua, participando activamente en el crecimiento clínico y tecnológico de nuestro consultorio.
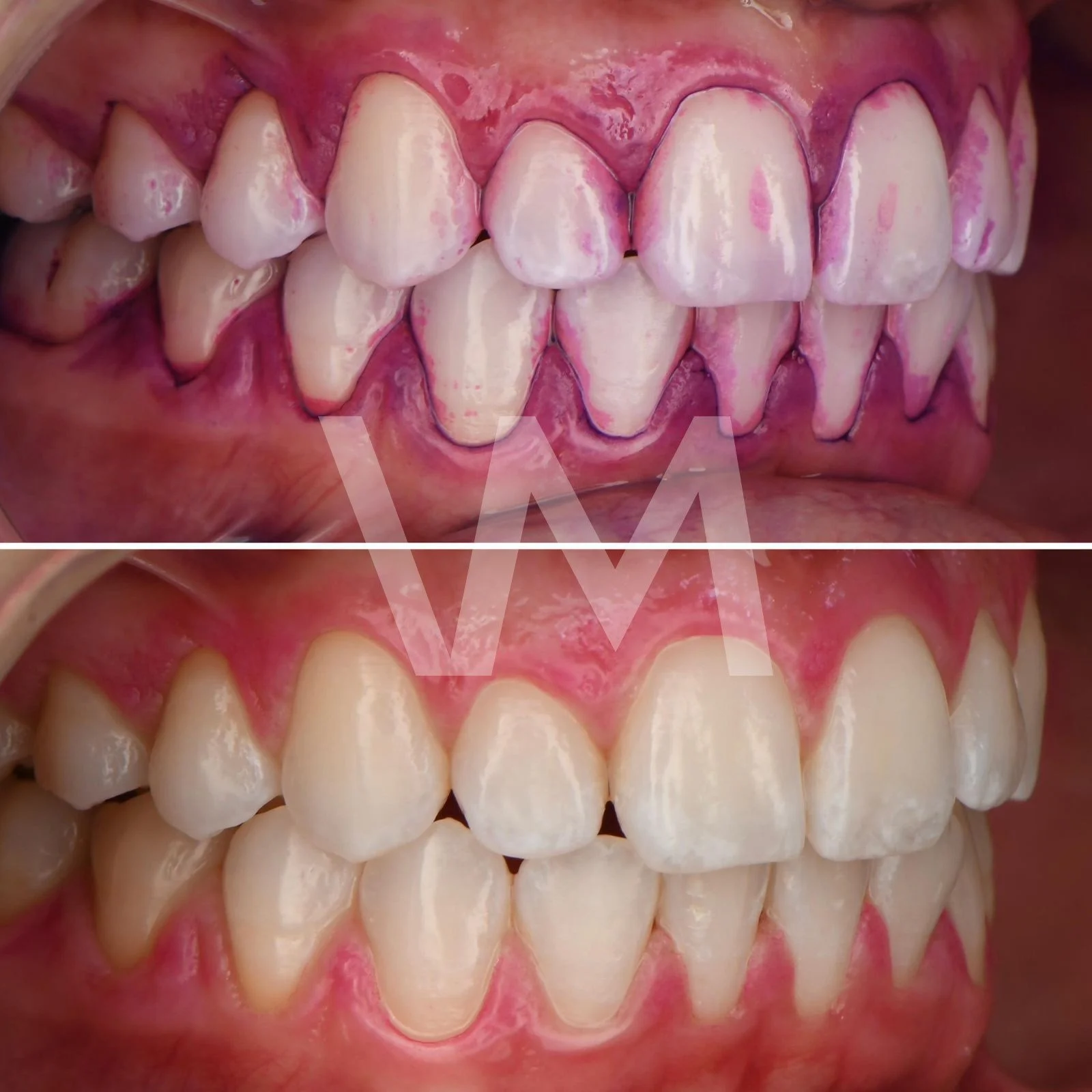
En nuestra clínica, colabora de forma cercana con los especialistas realizando Dental Check Ups, valoraciones generales, estudios diagnósticos y limpiezas de mantenimiento bajo los protocolos de GBT (Guided Biofilm Therapy). También brinda apoyo clínico durante procedimientos especializados, asegurando una atención integral y de alta calidad.
Actualmente, la Dra. Itzel es coordinadora del laboratorio dental del consultorio, Studio Dental Lab, donde lidera las actividades y procesos del área, incluyendo los diseños digitales para casos de rehabilitación, impresiones de provisionales y la implementación de tecnologías innovadoras que mantienen al consultorio a la vanguardia.
Además, es responsable de la coordinación con laboratorios externos para la elaboración de trabajos en cerámica y porcelana, asegurando una comunicación eficaz, resultados estéticos de alto nivel y tiempos de entrega adecuados para nuestros pacientes.
Su liderazgo, compromiso técnico y calidez humana la convierten en una pieza clave dentro de nuestro equipo de alta especialidad.
Casos realizados por la Dra. Itzel
 
        
        
      
    
     
                         
                  
                    
                