Injertos de encía
Cirugías de Injertos de Encía del Paladar e Injertos Sintéticos para el Tratamiento de Recesiones Gingivales
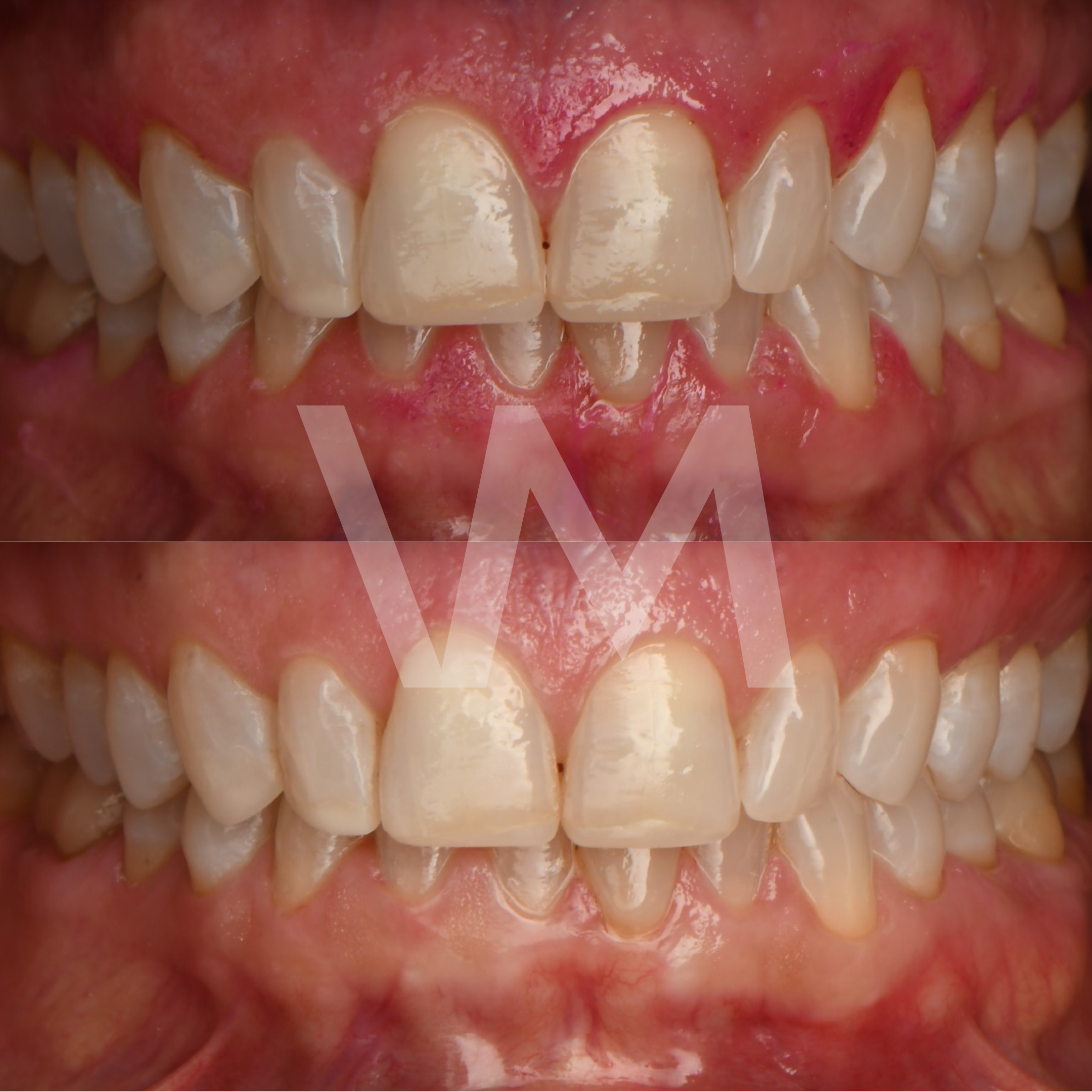
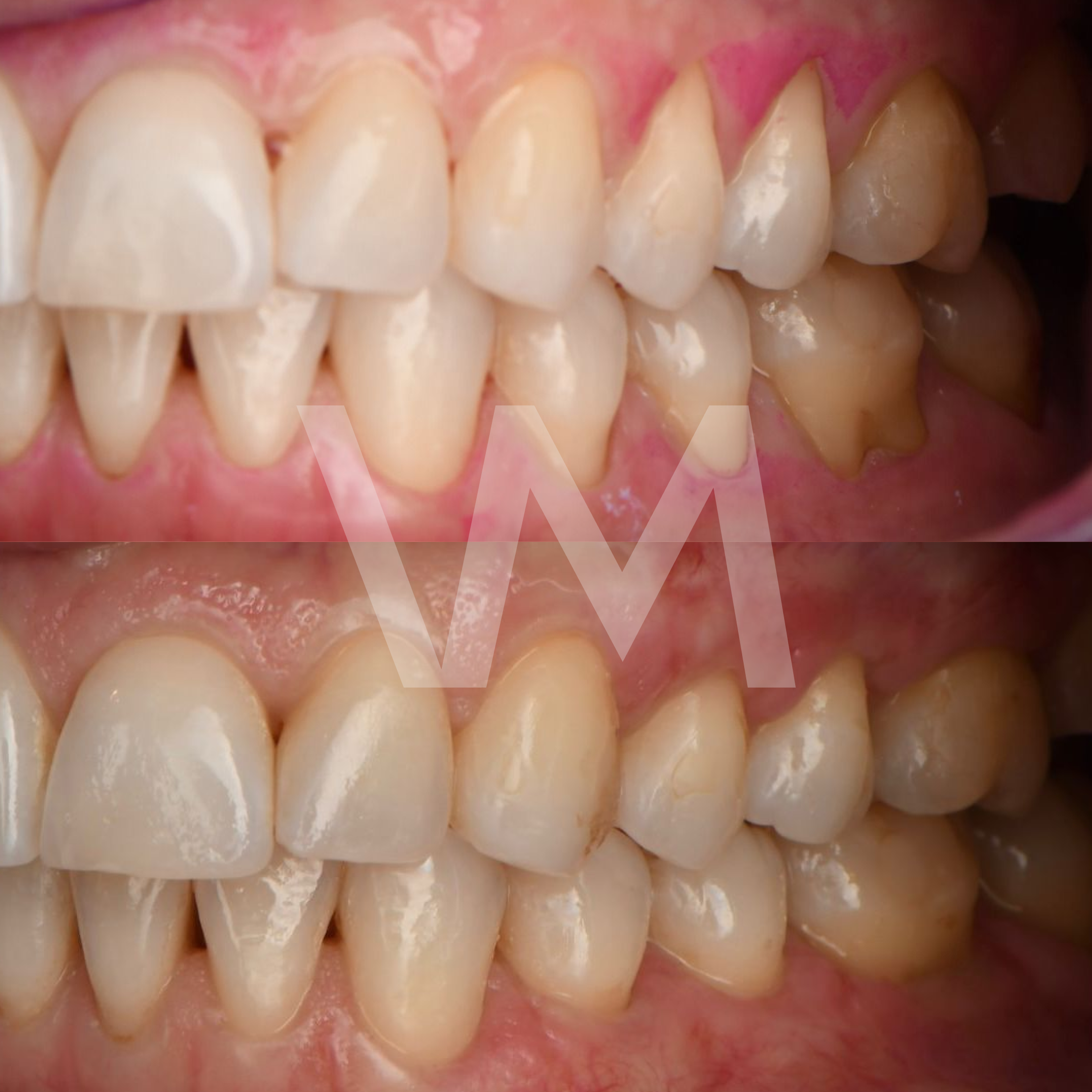
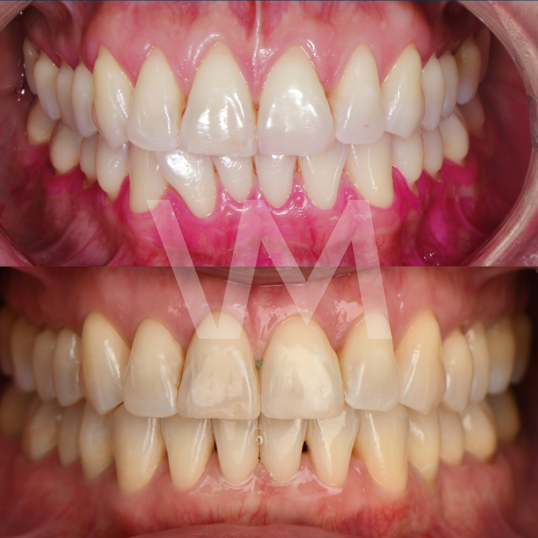
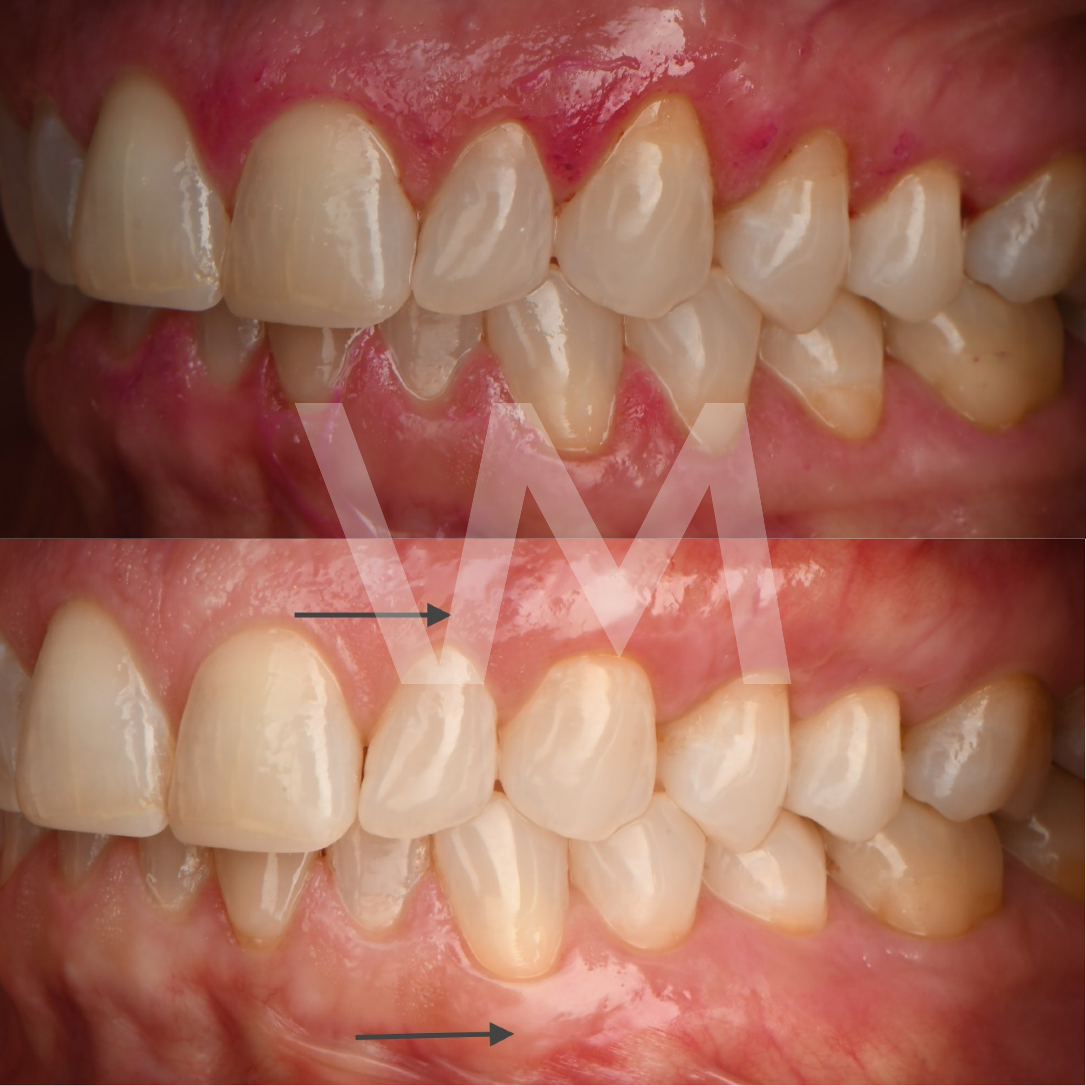
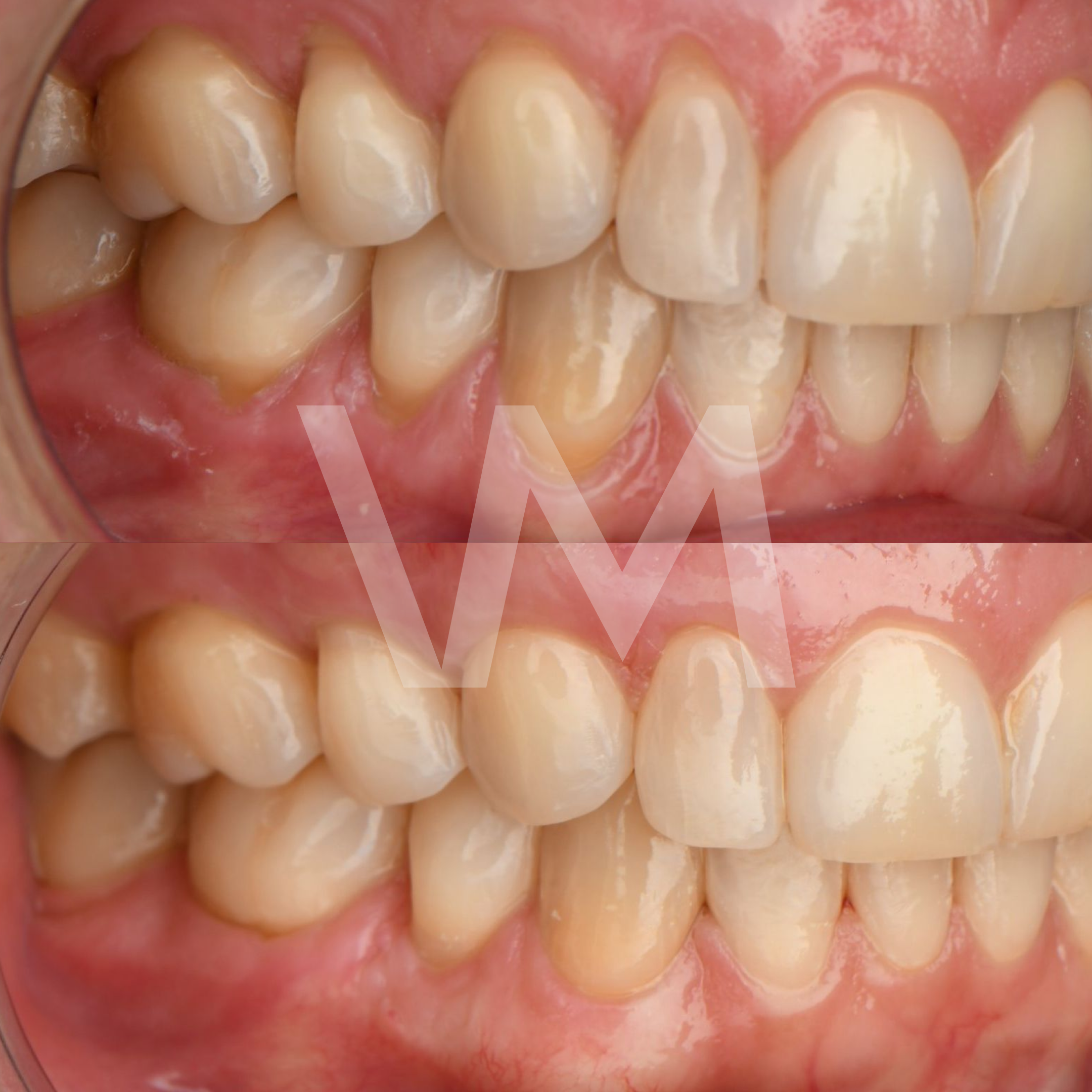
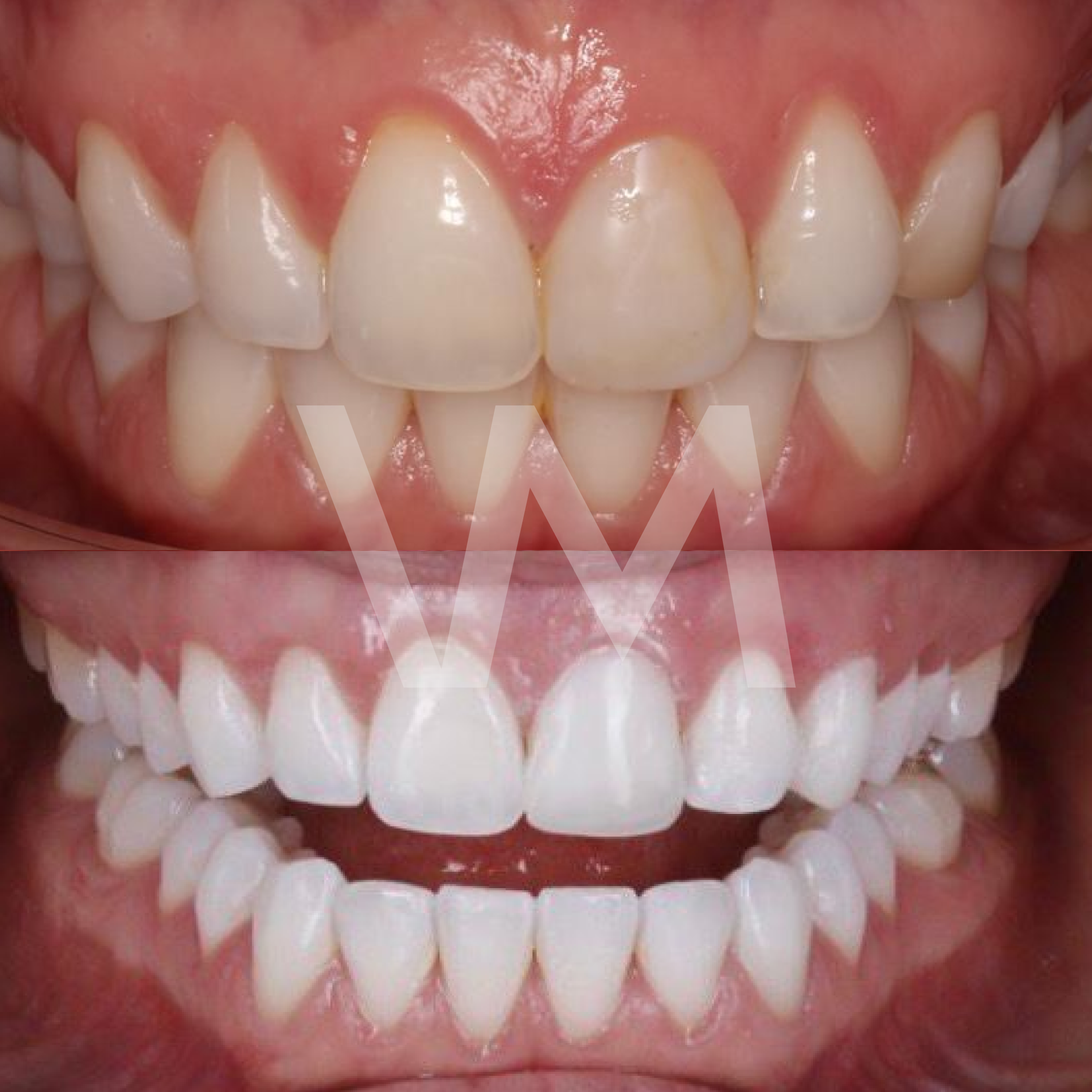
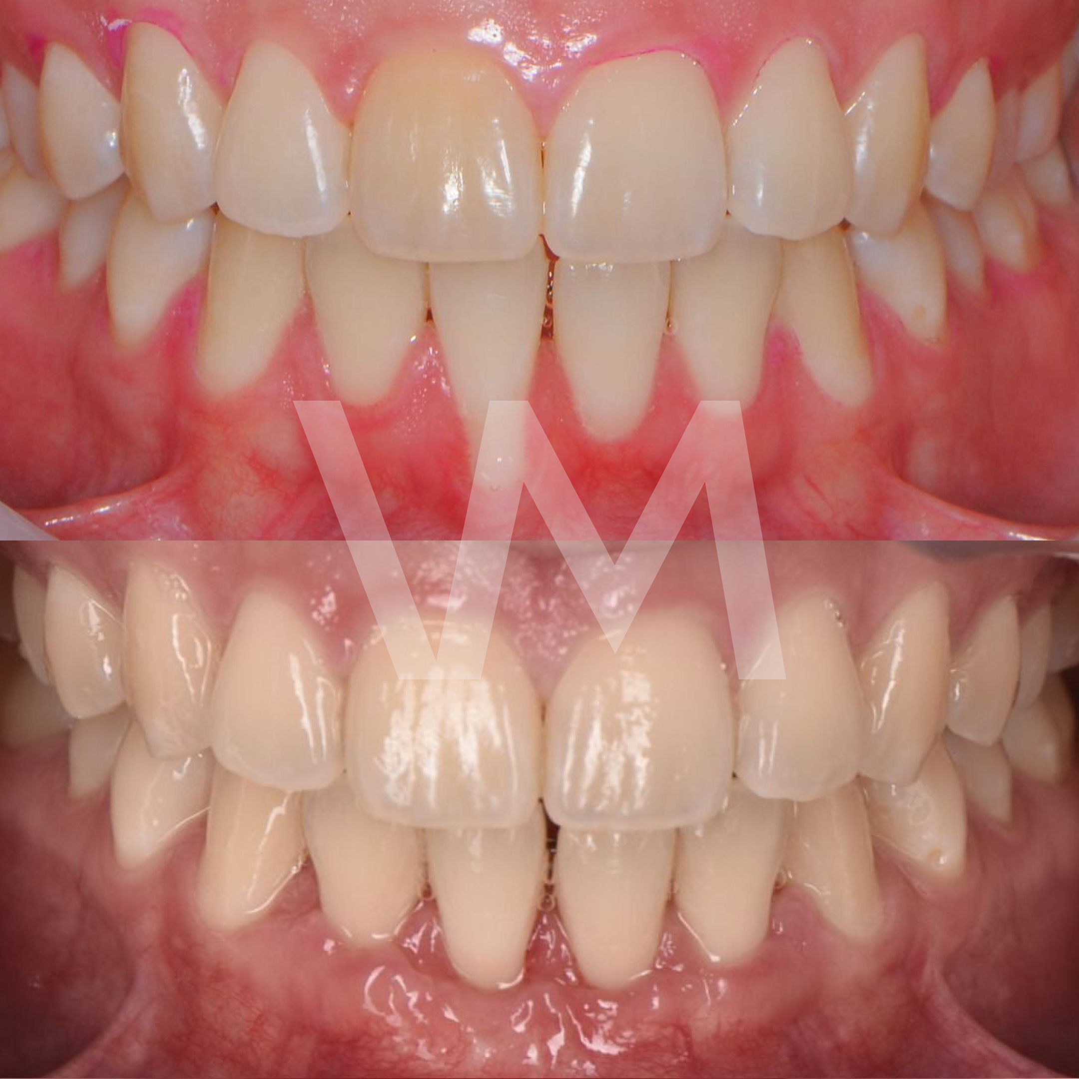
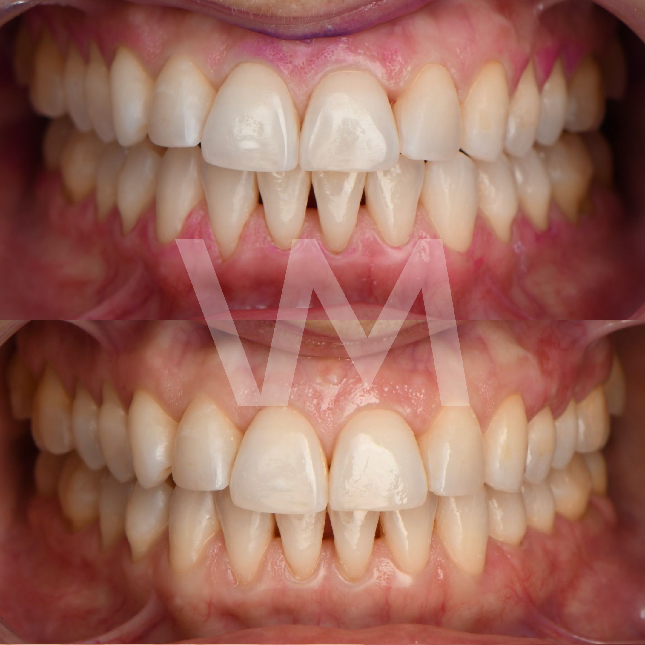
Las recesiones gingivales son un problema común en el que las encías retroceden, dejando expuesta la raíz del diente y aumentando el riesgo de sensibilidad dental, deterioro del hueso y pérdida de dientes. Para corregir estas recesiones y restaurar la salud gingival, se pueden realizar cirugías de injertos de encía del paladar e injertos sintéticos.
1. Injerto de Encía del Paladar:
Durante un injerto de encía del paladar, también conocido como injerto de tejido blando, se toma una pequeña porción de tejido de la encía del paladar del paciente y se coloca sobre la zona afectada por la recesión gingival. Este tejido trasplantado ayuda a cubrir la raíz expuesta del diente y a fortalecer las encías circundantes.
Proceso del Injerto de Encía del Paladar:
- Anestesia: Se administra anestesia local para adormecer el área a tratar y garantizar la comodidad del paciente durante el procedimiento. 
- Extracción del Tejido: Se extrae una pequeña porción de tejido de la encía del paladar. 
- Colocación del Injerto: El tejido del paladar se coloca cuidadosamente sobre la zona de recesión gingival y se sutura en su lugar. 
- Cicatrización: Con el tiempo, el tejido injertado se integrará con las encías existentes y ayudará a mejorar la salud y la apariencia de la zona tratada. 
2. Injertos Sintéticos:
Los injertos sintéticos son una alternativa al uso de tejido natural para el tratamiento de recesiones gingivales. Estos materiales están diseñados para imitar las propiedades del tejido gingival natural y promover la regeneración de las encías.
Proceso de los Injertos Sintéticos:
- Preparación del Sitio: Se prepara el área afectada retirando cualquier tejido dañado o infectado. 
- Aplicación del Material: El injerto sintético se coloca sobre la zona de recesión gingival y se asegura en su lugar. 
- Cicatrización y Regeneración: Con el tiempo, el material sintético estimula la regeneración de las encías y ayuda a cubrir la raíz expuesta del diente. 
Beneficios de las Cirugías de Injertos de Encía:
- Mejora la salud gingival y previene la progresión de la recesión gingival. 
- Reduce la sensibilidad dental causada por la exposición de la raíz del diente. 
- Mejora la estética de la sonrisa al restaurar el contorno gingival natural. 
Importante: Es fundamental seguir las instrucciones postoperatorias proporcionadas por el odontólogo para garantizar una recuperación exitosa y mantener los resultados a largo plazo.
Las cirugías de injertos de encía del paladar e injertos sintéticos son procedimientos efectivos para el tratamiento de recesiones gingivales, restaurando la salud y la estética de las encías y mejorando la calidad de vida del paciente.
Casos clínicos realizados por la Dra. Paulina
 
        
        
      
    
     
                         
                  
                    
                 
                  
                    
                 
                  
                    
                 
                  
                    
                 
                  
                    
                 
                  
                    
                