Implantes dentales
Rehabilitación Protésica sobre Implantes
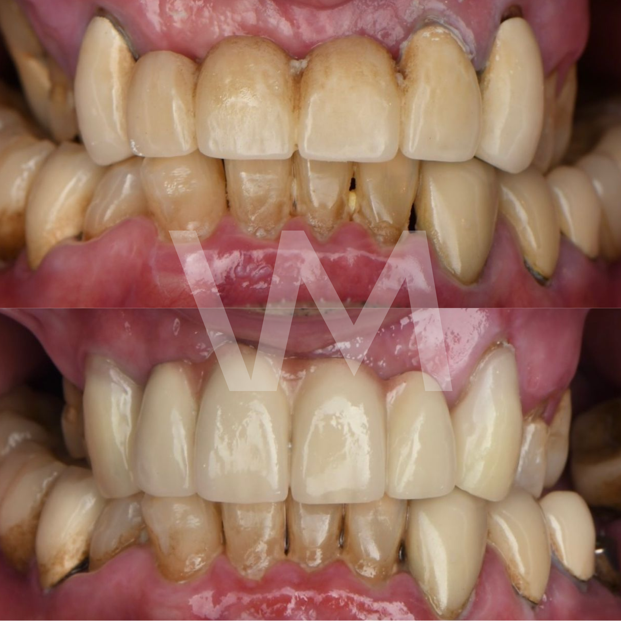
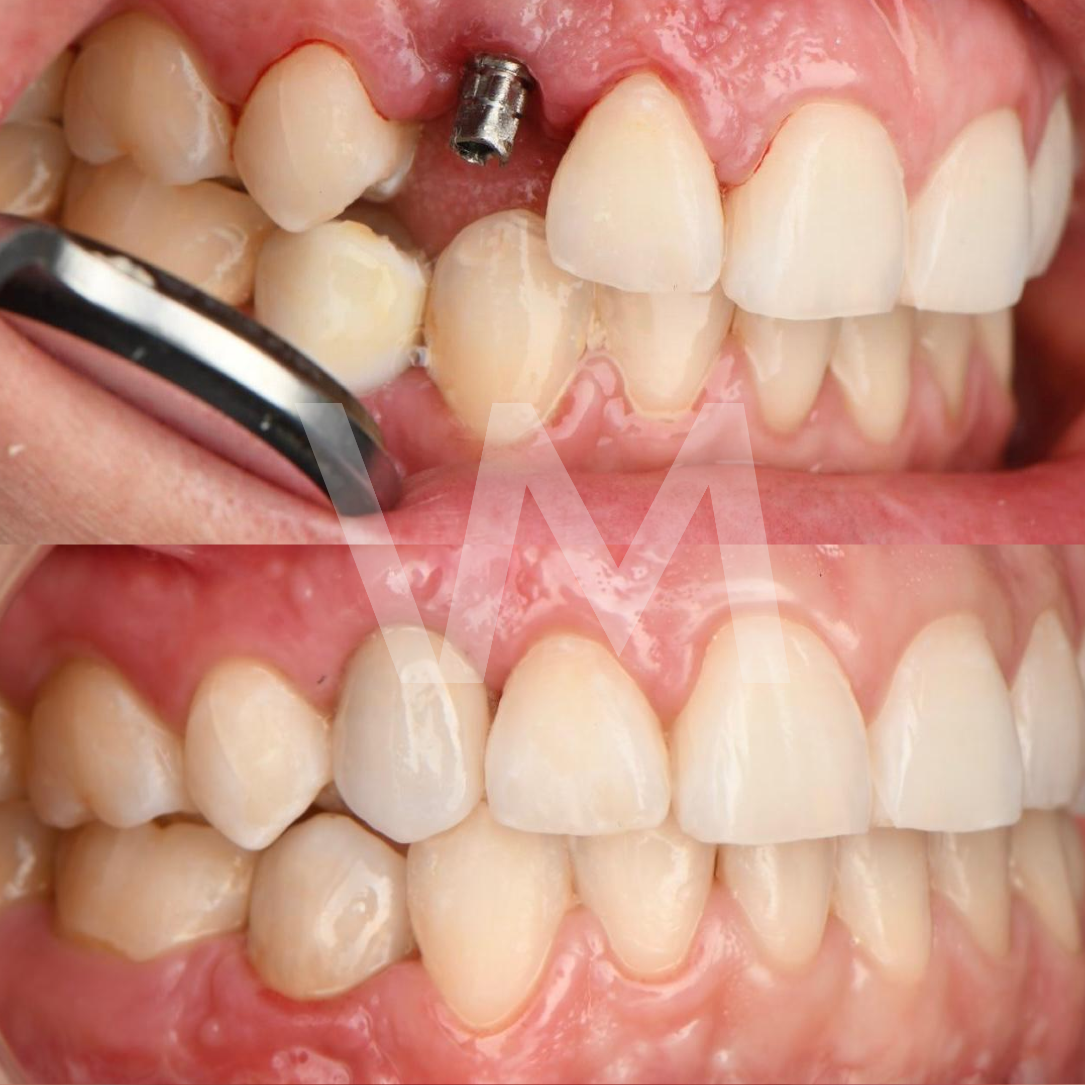
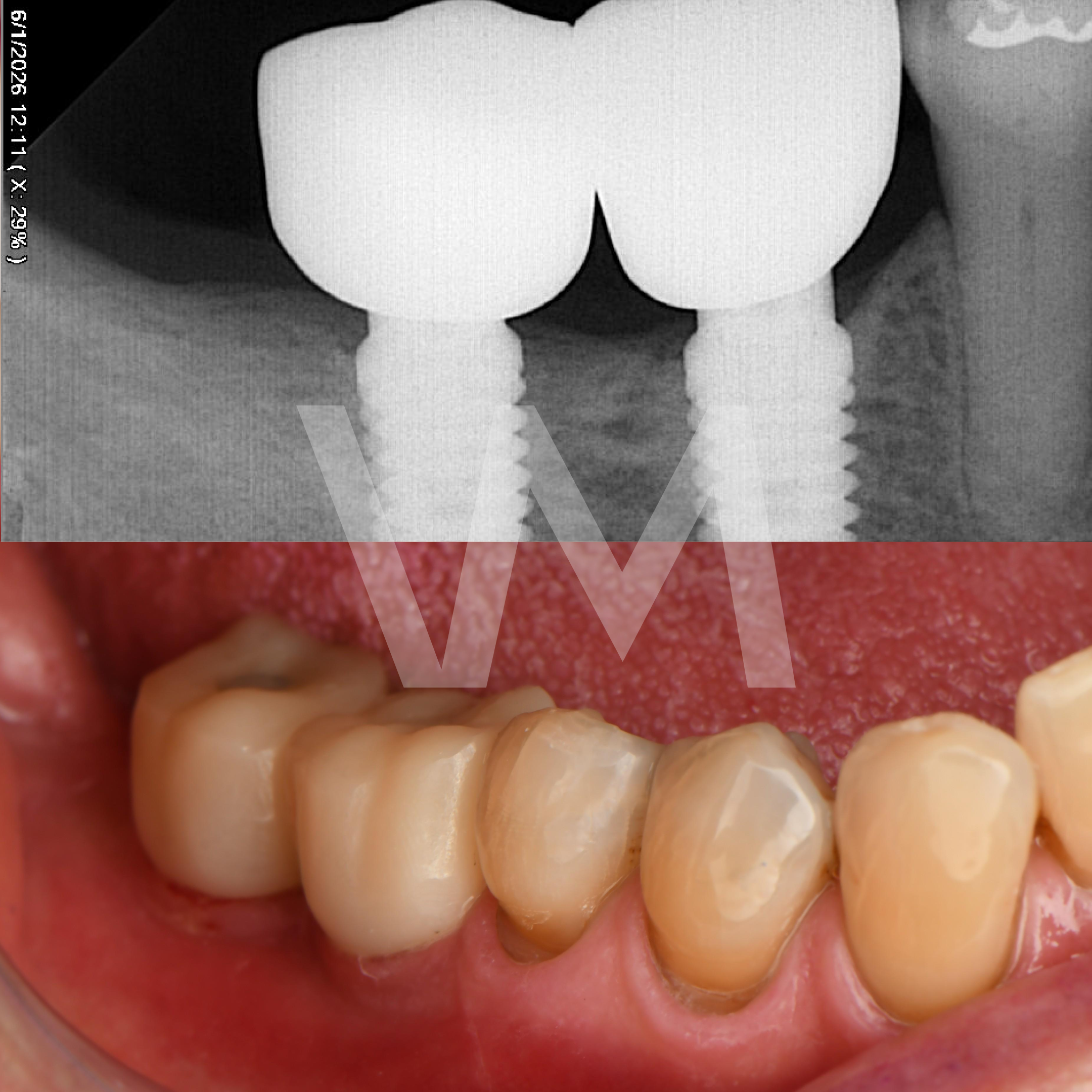
Los implantes dentales son pequeñas estructuras de titanio que reemplazan la raíz de un diente perdido y sirven como base para colocar prótesis dentales. Gracias a ellos, es posible recuperar tanto la función como la estética de tu sonrisa.
¿Cómo es el proceso?
🦷 Evaluación y planificación: Revisamos tu salud bucal y ósea con estudios especializados para diseñar el mejor plan de tratamiento.
🔩 Colocación de los implantes: Se colocan de manera mínimamente invasiva en el hueso maxilar o mandibular.
⏳ Cicatrización y osteointegración: El implante se une al hueso, formando una base sólida y estable.
🎯 Diseño personalizado: Tomamos impresiones digitales para crear una prótesis adaptada a tu sonrisa.
✨ Colocación de la prótesis: Puede ser una corona, puente o dentadura completa, siempre con un ajuste cómodo y natural.
Beneficios de los implantes
- Permiten comer y hablar con total seguridad. 
- Se ven y se sienten como dientes naturales. 
- Ayudan a conservar el hueso y prevenir el envejecimiento facial. 
- Son una solución duradera para recuperar tu sonrisa. 
Casos de Implantes Dentales
 
        
        
      
    
     
                         
                  
                    
                 
                  
                    
                 
                  
                    
                