Blanqueamiento dental
Blanqueamiento Dental: Recupera la Sonrisa Radiante que Siempre Haz Querido
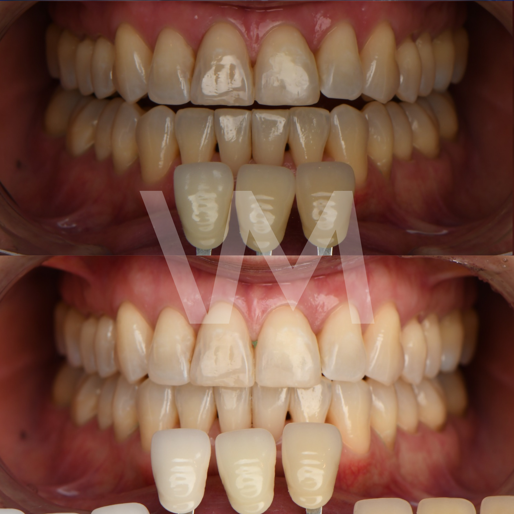
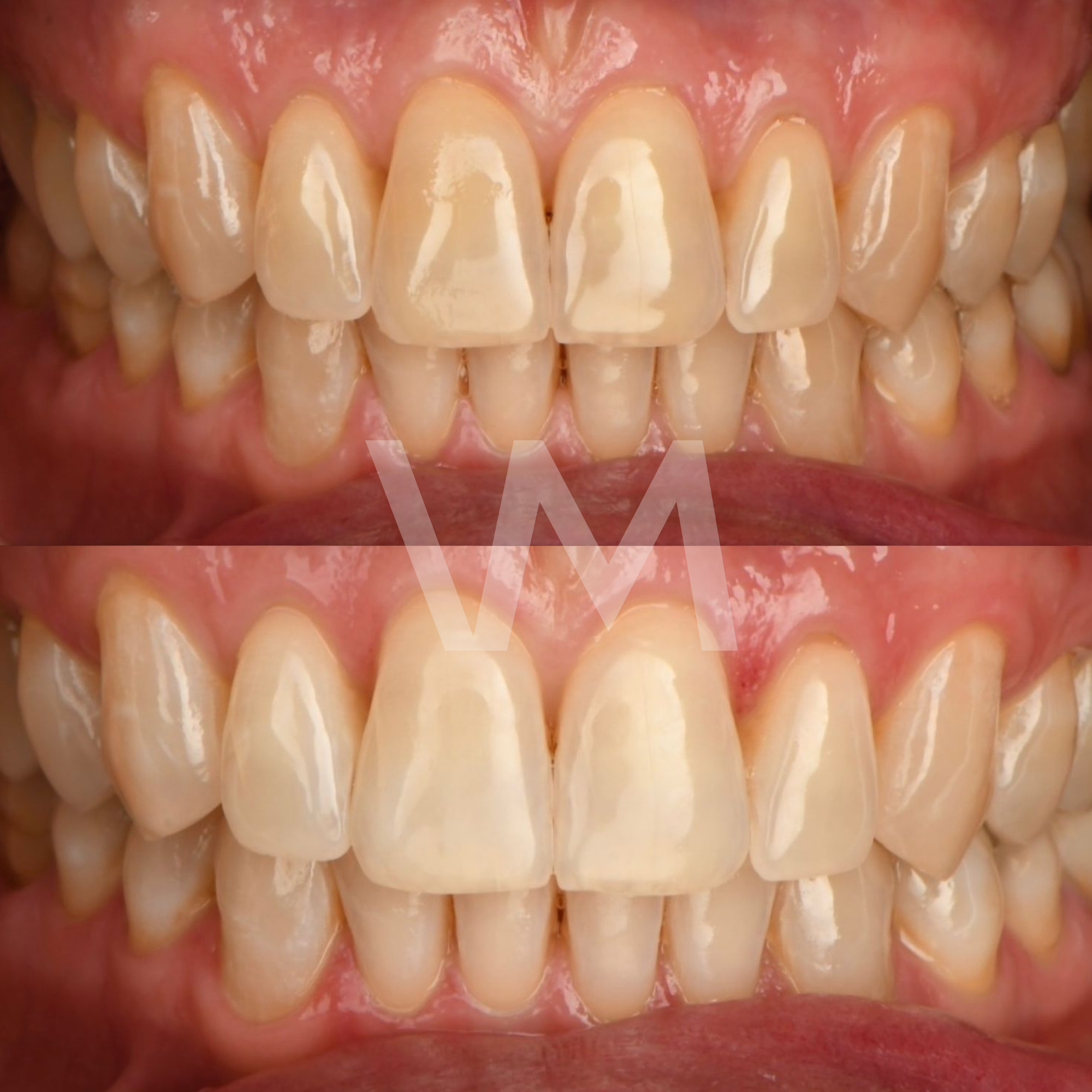
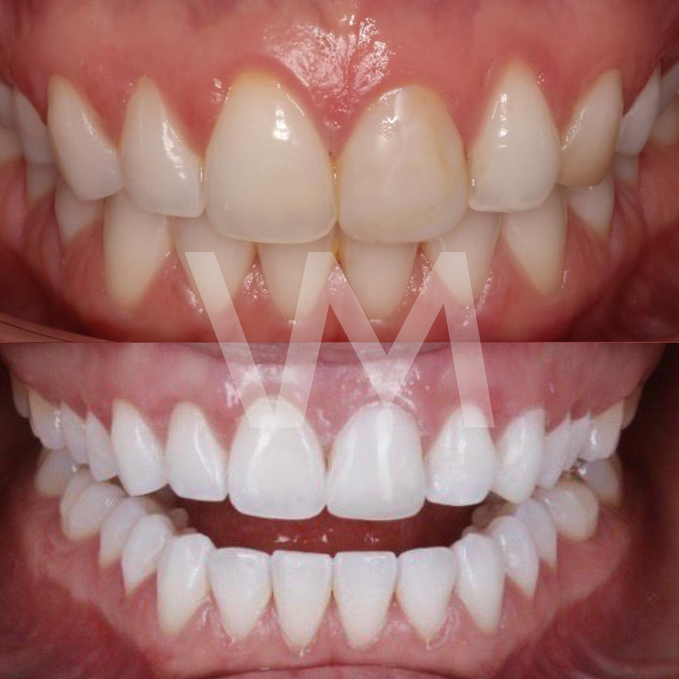
El blanqueamiento dental es un procedimiento popular y seguro que se utiliza para aclarar el color de los dientes y mejorar la apariencia de la sonrisa. Aquí te explicamos los aspectos clave del blanqueamiento dental y qué esperar durante el proceso:
1. Evaluación Inicial:
Antes de comenzar cualquier tratamiento de blanqueamiento dental, es importante realizar una evaluación inicial con un dentista para determinar si eres un buen candidato para el blanqueamiento y discutir tus expectativas. Durante esta evaluación, el dentista revisará tu historial dental, examinará la salud de tus dientes y encías, y discutirá contigo tus objetivos estéticos.
2. Blanqueamiento en Consultorio:
El blanqueamiento en consultorio es un procedimiento realizado en la clínica dental por un profesional. Durante este proceso, se aplicará un gel blanqueador concentrado a la superficie de tus dientes y se activará con una luz especial o láser. Este método ofrece resultados inmediatos y puede completarse en una o dos sesiones, dependiendo del grado de decoloración de tus dientes.
3. Blanqueamiento en Casa:
El blanqueamiento en casa es un método más gradual que implica el uso de bandejas de blanqueamiento personalizadas y un gel blanqueador de menor concentración. El dentista tomará impresiones de tus dientes para fabricar bandejas de blanqueamiento personalizadas que se ajusten cómodamente a tu boca. Luego, se te proporcionará el gel blanqueador y las instrucciones para su uso en casa durante un período de tiempo determinado, generalmente varias semanas.
4. Cuidados Post-operatorios:
Después de completar el blanqueamiento dental, es importante seguir algunas recomendaciones para mantener y prolongar los resultados:
- Evita alimentos y bebidas que puedan manchar los dientes, como café, té, vino tinto y alimentos con colorantes intensos. 
- Mantén una buena higiene oral cepillando tus dientes al menos dos veces al día y usando hilo dental diariamente. 
- Evita fumar y el consumo excesivo de tabaco, ya que puede causar manchas y comprometer los resultados del blanqueamiento. 
- Programa revisiones dentales regulares para mantener la salud de tus dientes y encías y discutir cualquier preocupación estética adicional. 
El blanqueamiento dental es una excelente manera de mejorar la apariencia de tu sonrisa y recuperar la confianza en ti mismo. Ya sea que elijas el blanqueamiento en consultorio o en casa, es importante seguir las recomendaciones de tu dentista y mantener una buena higiene oral para disfrutar de resultados duraderos y una sonrisa radiante.
Si estás interesado en blanquear tus dientes, no dudes en programar una consulta con tu dentista para discutir tus opciones y determinar el mejor plan de tratamiento para ti.
 
        
        
      
    
     
                        